Ordinacija dentalne medicine Sanja Marin Čajo

Osim konzervative tj. liječenja i plombiranja zubi nudimo cijeli niz stomatoloških usluga. Trebate li stručnjaka za implantologiju, oralnu kirurgiju, strojnu endodenciju ili paradontologiju svakako nas posjetite. Također radimo i izbjeljivanje zubi, estetsku stomatologiju (ljuskice), hijaluronske filere, ortodontske postupke, ortodonstske zahvate.

ENDODONCIJA I RESTORATIVA

Endodoncija je grana dentalne medicine koja se bavi obradom korijenskih kanala zuba. U našoj ordinaciji nudimo strojnu obradu koja omogućuje brži i ugodniji postupak, ali pokazuje i bolje rezultate.


PROFILAKSA

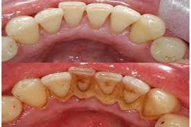
ULTRAZVUČNO ČIŠĆENJE KAMENCA

Zubni kamenac su naslage na zubnim površinama koji je nemoguće očistiti zubnom četkicom, pa je potrebno ultrazvučno skidanje istih. Zubni kamenac olakšava nastajanje karijesa i dovodi do upale zubnog mesa (gingivitis). Nakon skidanja zubnog kamenca preporuča se dodatno pjeskarenje i poliranje površina zuba kako bi se stvorile glatke površine zuba.

PJESKARENJE

Pigmentacije na površinama zuba nastaju konzumacijom kave, obojenih napitaka, pušenjem i nekim namirnicama. AIR FLOW® pjeskarenje zubi je metoda skidanja pigmentacija koristeći prah natrij bikarbonata koji pomoću mlaza vode i komprimitiranog zraka uklanja nastale pigmentacije. Tretman uključuje pjeskarenje, poliranje i fluoridaciju zuba te traje oko 30 minuta.

PEČAĆENJE FISURA

Zdravi zubi podložni karijesu se mogu zaštiti neinvazivnim pečaćenjem fisura.


FIKSNA I MOBILNA PROTETIKA

Nedostatak zuba se može nadoknaditi zubnim mostovima ili mobilnim protezama, te kombinacijom oba rada. Ovisno o indikaciji izrađujemo krunice, mostove, kombinirane radove i ljuskice od različitih materijala (metalkeramika, keramika, cirkon)


DENTALNI IMPLANTATI

Jedan od načina nadoknade izgubljenih zubi je ugradnja dentalnih implantata. Zubni implantat se ugrađuje u kost i koristi se kao nosač protetskog rada (krunice, mosta, proteze).


ESTETSKA DENTALNA MEDICINA

IZBJELJIVANJE ZUBI

Postupak izbjeljivanja radi se u jednoj posjeti i traje približno 45 min. Koristi se gel na bazi vodikova peroksida, a postupak je ugodan i bezbolan.

LJUSKICE

Ljuskice su protetski nadomjesci koji se postavljaju na prednje plohe zuba i njima se ispravlja boja, oblik i veličina zuba. Izrađujemo kompozitne i keramičke ljuskice.

BONDING

Bonding je naziv za kompozitnu nadogradnju zuba koji se pokazao kao uspješna metoda nakon traume ili trošenja zuba. Postupak je bezbolan i njačešće se radi bez brušenja.


NAPOMENA: Moguć je dogovor oko organizacije besplatnog smještaja za vrijeme trajanja dentalnog tretmana

Lokacija

Ordinacija dentalne medicine Sanja Marin Čajo
Ljudevita posavskog 8
21000 Split
Telefon : 021/486-494

Radno vrijeme

pon, sri, pet 08:00 - 14:00
uto, čet 13:00 - 19:00
Vikendom Po dogovoru

Društvene mreže